
贋復牙科醫師的門診其中一部分是處理需要全口重建的患者,
每個患者來診時的口內狀態、經濟條件各異,通常也需要各專科的協同治療。
依患者口內狀況及可負擔的費用訂定可長期成功的治療計畫、
和其他協同專科醫師溝通治療細節、
精準控制從診斷階段(diagnostic stage)到臨時假牙階段(provisional stage)及最終全口贋復物完成時的誤差,
讓治療前給患者的藍圖如願成真是贋復牙科領域中非常有成就感的部分。
–
–
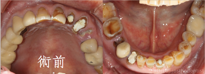
這個案例是個70多歲身體硬朗的伯伯,
但長期因深咬、磨牙、胃酸逆流導致齒質軟化和忽略口腔健康維護而來診尋求全口治療。
經過診斷及模型分析,確認整體治療計畫之後先一一拆除不合的舊假牙、
殘根拔除並換上第一副臨時假牙,
待各個需其他專科協同治療的項目完成後將適應良好的咬合及前牙導引轉移到第二副臨時假牙
(第二副臨時假牙在各方面應和正式假牙幾乎相符,主要在做最後美觀及細節調整),
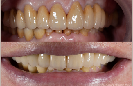
最終完成全口所有贋復物。
當然,為了維持歷經兩年多的治療才找回的笑容,
給予咬合版保護且安排定期回診追蹤都是非常重要的哦!



