
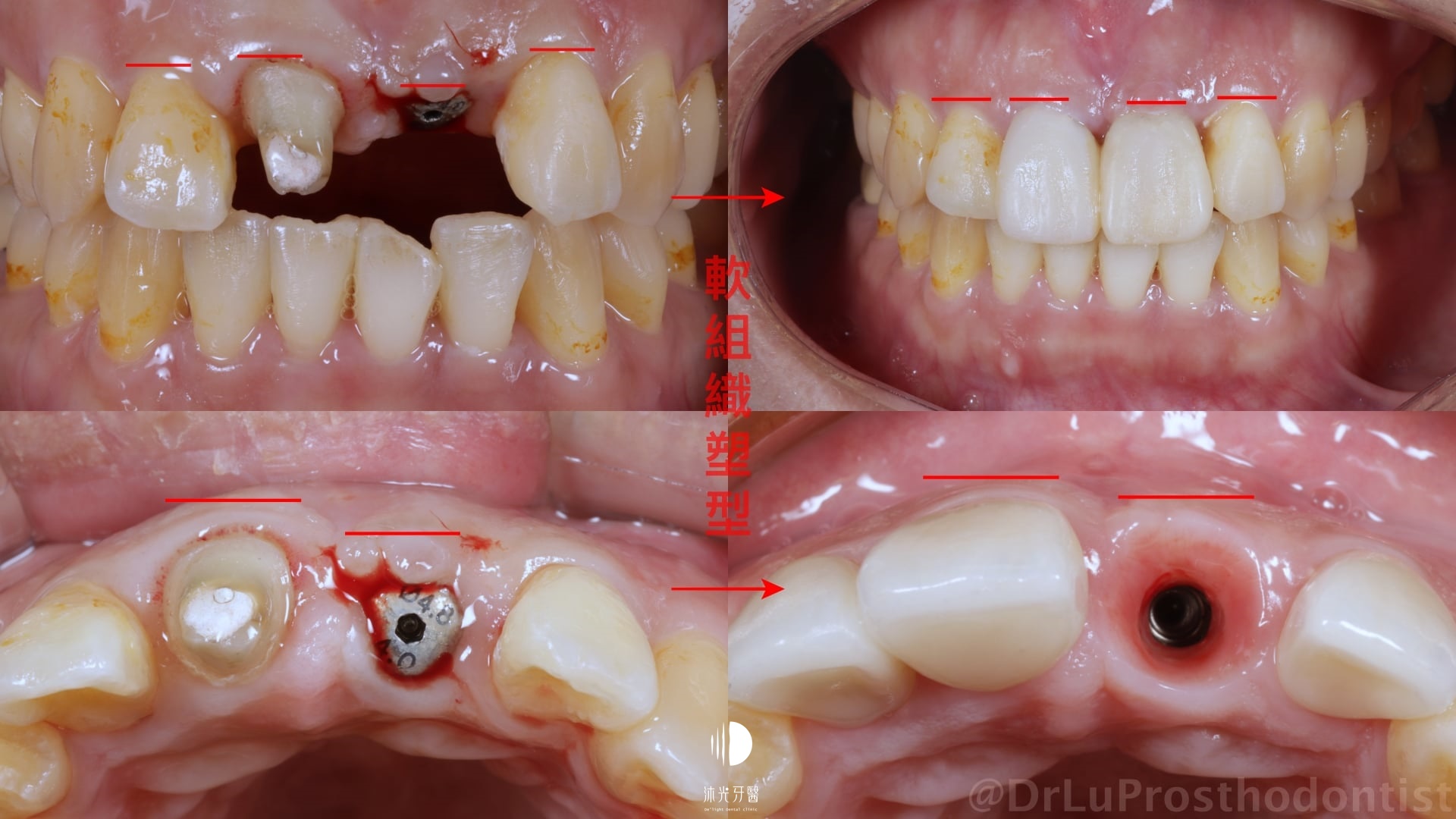
今天要分享的案例是位車禍患者的前牙重建,幸好沒有嚴重的齒槽骨損傷讓整個治療並沒有經過太多的手術過程。
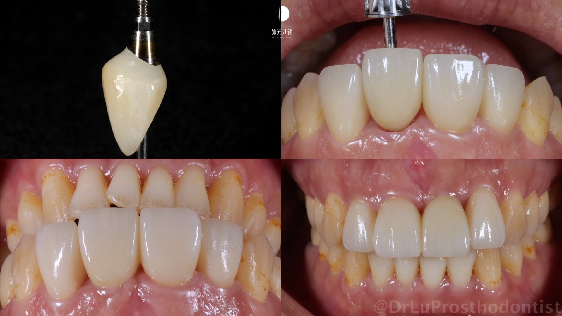
矯正治療完成後才安排縱裂的左側門牙拔牙、補骨、植牙等流程;可以看到即使門牙植牙區水平方向的組織量不足,但在條件良好的情況下單單透過植牙臨時假牙的形態去塑型周圍牙肉,還是可以達到正面觀時不錯的結果,達到患者希望減少手術次數的要求。
一些創傷伴隨嚴重齒槽骨損傷的患者就沒有這麼簡單了,可能會需要大範圍的補骨及軟組織手術或是合併假牙肉的贋復物才有機會找回自然好看的笑容,之後的篇幅再和大家分享囉~~大家出門在外務必注意交通安全!


