
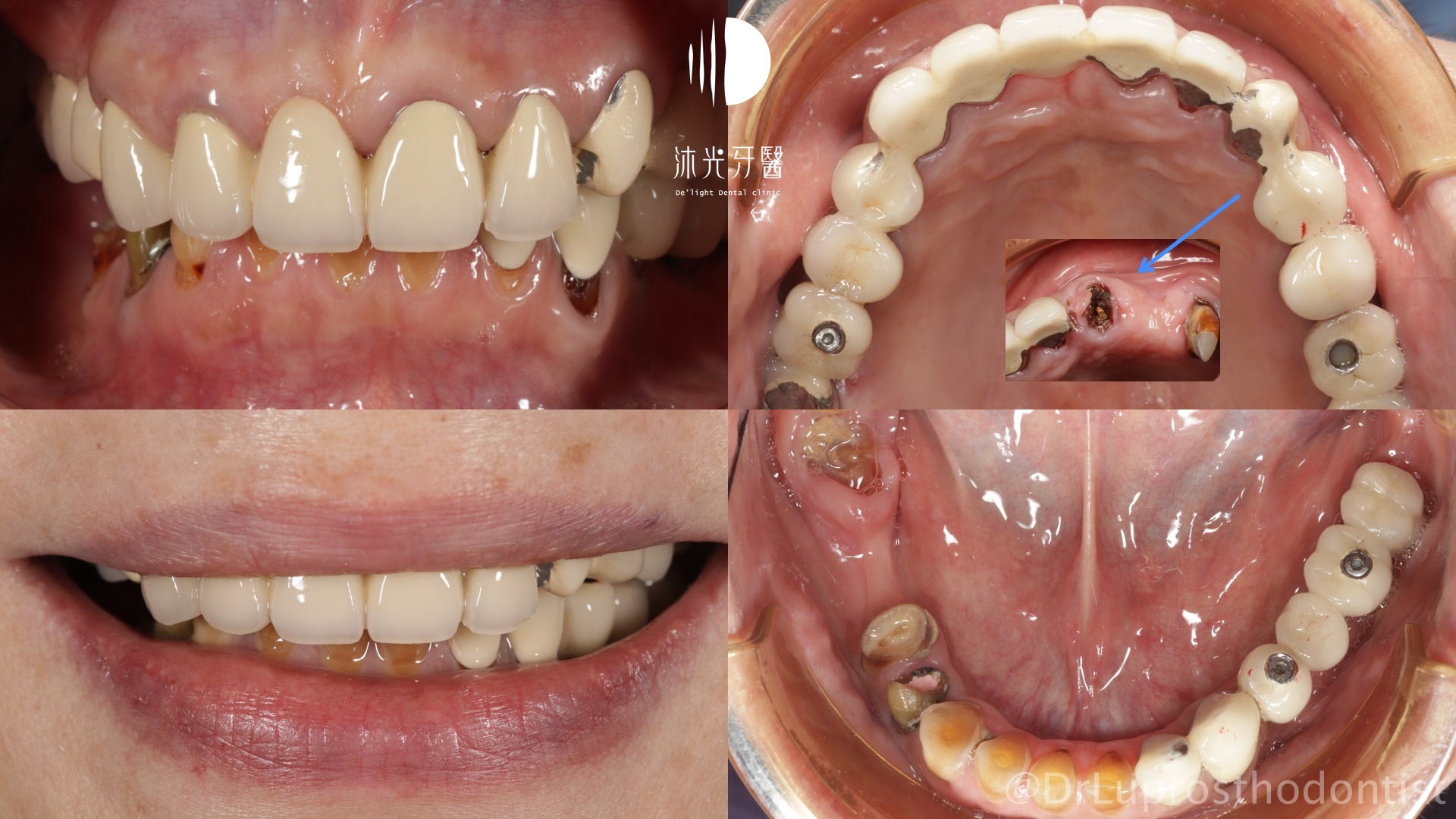
大家平常承受著來自生活、工作、家庭等等各方面的壓力,平常門診看到有牙齒磨損的比例很高。
輕度的磨牙若沒造成明顯的敏感症狀,睡覺配戴薄型的咬合板大多足夠防止進一步傷害,但少數嚴重磨損的案例就沒這麼簡單了,若磨損僅侷限在少數後牙且咬合高度並未喪失,那以陶瓷嵌體還原受損的琺琅質即可 ; 廣泛性的齒質磨損便很常需要全口重建了。
今天要分享的案例是一個愛美的阿姨,從第一次來診評估就不斷的「提醒」盧醫師:「一定要做的很美哦,朋友們都等著看」
經過一番評估及討論,決定保留沒有急性症狀的舊植牙,因此整個治療便以維持左側舊植牙對咬的咬合高度為前提來進行重建。(還好阿姨口外觀沒有明顯咬合高度喪失,若外觀明顯呈現咬合高度喪失或口內重建空間不足,那就需要更換或移除舊植牙、提高咬合高度來重建了)
在原有咬合高度下分配上下齒列重建空間、盡量打平下顎的咬合平面落差及必要的牙冠增長手術來增加被嚴重磨損的下顎前牙的支撐長度後,以臨時假牙讓阿姨測試咬合(尤其是側方運動)、發音、美觀 ; 等待植牙骨整合完成後便可依據臨時假牙的參數來製作正式假牙。
最終呈現的微笑曲線很自然、呈色及通透感也很不錯,當然咬合調整要很到位並要給予咬合板來避免重蹈覆轍 ; 阿姨也很滿意最後的治療結果、拍照沒有破綻啦

